П.В. Федорич, канд. мед. наук, Українська військово-медична академія,
О.Ю. Мацас, Олександрівська клінічна лікарня м. Києва
На сьогодні серед інфекційних захворювань сечостатевої системи в жінок найпоширенішим є бактеріальний вагіноз (БВ) [4, 15].
БВ — інфекційний синдром, пов’язаний з дисбіозом вагіни, для якого характерними є висока концентрація облігатних анаеробних мікроорганізмів та різке зниження вмісту лактобацил або їхня відсутність. У розвитку даної патології відіграють роль такі мікробні агенти, як Gardnerella vaginalis, Mycoplasma hominis, Mycoplasma genitalium, Ureaplasma urealiticum, Bacteroides, Prevotella, Porphyromonas, Peptostreptococcus, Fusobacterium nuclearum, Enterococcus, Listeria monocytogenes, Mobiluncus, Leptotrichia, Candida albicans та Streptococcus viridens [6, 9, 17, 25].
БВ не включено до МКХ 10-го перегляду як самостійну (окрему) патологію. Імовірно, це пов’язано з тим, що й донині остаточно не з’ясовані його роль та місце в структурі інфекційних захворювань нижнього відділу жіночих статевих органів. У МКХ-10 БВ класифікується під шифром N 89.5 «белі нез’ясовані, як інфекційні» або N 76 «інші види запалення вагіни та вульви».
Захворювання сечостатевої сфери, обумовлені патогенними та умовно-патогенними мікроорганізмами, що призводять до дисбіозу органів сечостатевої системи, залишаються нагальною проблемою сучасної дерматовенерології, гінекології та урології. Це значною мірою пов’язано з певними труднощами їхньої діагностики, резистентністю до лікування, надзвичайно високою поширеністю та можливим розвитком важких ускладнень, особливо таких, що впливають на репродуктивну функцію [13].
На сьогодні інфекційно-запальні урогенітальні захворювання у жінок займають перше місце в структурі акушерсько-гінекологічної захворюваності. Їхня частота в різних популяціях коливається від 30 до 80% [8]. Так, у групах планування сім’ї і серед студенток частота БВ складає 17–19%; серед осіб, які перебувають на лікуванні в клініках венеричних хвороб, 24–37%; серед пацієнток з патологічними белями — 61–87% [33].
Виділяють такі чинники розвитку БВ [21]:
Хоча БВ не є прямою загрозою для життя хворих, накопичення та зберігання високої концентрації умовно-патогенних мікроорганізмів є чинником ризику розвитку різних патологічних станів та ускладнень [11]. Ускладнення, пов’язані з БВ, включають хронічні запальні процеси внутрішніх статевих органів, розвиток спайкових процесів малого таза, неплідність, самовільне переривання вагітності в різні терміни. У разі запалень, обумовлених збудниками БВ, у 3,4–7 разів підвищується ризик розвитку післяабортного та післяпологового ендометриту, а також запальних процесів придатків матки, втричі частіше виникає запалення культі матки після гістеректомії [12]. БВ підвищує ризик розвитку такої гінекологічної (акушерської) патології, як передчасні пологи (у 2–3 рази), передчасне відходження навколоплідних вод (у 4–5 разів), хоріоамніоніт (у 2–6 разів), самовільні викидні (в 3–4 рази), нагноєння післяопераційних ран (у 5–9 разів) [27]. Крім того, збудники БВ можуть впливати на розвиток злоякісних пухлин. Встановлено зв’язок БВ з неопластичними процесами шийки матки [6].
У чоловіків збудники, асоційовані з БВ у жінок, можуть спричиняти баланіт, хронічні уретрит та простатит, а також бути передумовою виникнення аденоми передміхурової залози [11, 18, 28].
До нашого часу остаточно невирішеним залишається питання про роль умовно-патогенної мікрофлори (як кожного виду окремо, так і їхніх асоціацій) у розвитку БВ [36]. Розвиток поглядів щодо основного збудника БВ з плином часу змінювався. Так, вперше клінічну картину неспецифічного вагініту, який пізніше був названий БВ (гарднерельозом), описали H.J. Gardner та C.D. Dukes в 1955 р. Вони зазначили, що найімовірніше збудником захворювання є Haemophilus vaginalis, пізніше на честь одного з вчених перейменований на Gardnerella vaginalis. У наш час ці погляди переглядають, оскільки Gardnerella vaginalis виявляють у третини здорових жінок, що стало підставою для спростування провідної ролі цього мікроорганізму в етіології БВ. До мікроорганізмів, які ніколи не виявляють у здорових жінок, належать деякі анаероби.
Захворювання, зумовлені умовно-патогенною мікрофлорою, можуть перебігати як з клінічно вираженою симптоматикою, так і безсимптомно [31]. Безсимптомний перебіг у низці випадків призводить до пізнього звернення хворих до лікаря і розвитку внаслідок цього серйозних ускладнень. Встановлено, що урогенітальні захворювання, спричинені умовно-патогенними мікроорганізмами, підвищують ризик виникнення інфекцій, що передаються статевим шляхом (сифіліс, трихомоніаз, гонорея, хламідіоз) [11], а також інфекції, яку зумовлює вірус імунодефіциту людини [32].
Невчасна діагностика інфекційних захворювань, що виникли під дією умовно-патогенної мікрофлори, може стати причиною порушення жіночої репродуктивної функції. Так, запальні процеси малого таза можуть порушувати нормальний транспорт ооцита, що може бути причиною трубного безпліддя [30]. Захворювання, зумовлені умовно-патогенною мікрофлорою, можуть бути причиною не тільки спонтанних абортів, передчасних пологів, а й внутрішньоутробного інфікування і низької маси тіла плода [23]. Своєчасно не діагностовані захворювання, спричинені умовно-патогенною мікрофлорою, зумовлюють розвиток ускладнень після хірургічних втручань на органах малого таза і постнатальних порушень [34].
Різке зниження рівня молочнокислої мікрофлори, яка об’єднує перeкиспродукуючі мікроорганізми, є первинним проявом патологічних зрушень, що передують БВ [24, 26]. Рівень молочнокислої мікрофлори знижується на тлі колонізації піхви Gardnerella vaginalis, які виявляють більш як у 90% жінок у кількості 107–109 колонієутворювальних одиниць/г (КУО/г) досліджуваного матеріалу і які домінують над лактобактеріями. Персистенція у піхві гарднерел часто асоційована із суто анаеробними бактеріями — Mobiluncus, Prevotella, Bacteroides, Fusobacterium, Peptostreptococcus та Mycoplasma. Такі міжмікробні асоціації підтримуються специфічними катаболітами, які виробляються, з одного боку гарднерелами, а з іншого — облігатно-анаеробними бактеріями.
Факультативно-анаеробні, мікроаерофільні та аеробні мікроорганізми, за даними Л.В. Кудрявцевої та співавторів [9], виділяють у 23,4% хворих із БВ. Концентрація облігатних анаеробів (Mobiluncus, Peptostreptococcus, Prevotella, Bacteroides, Fusobacterium, Leptotrichia тощо) у піхві при БВ підвищується у 1000 разів. При цьому загальна кількість мікроорганізмів у піхві досягає 1010–1011 КУО/г досліджуваного матеріалу, а питома вага лактобактерій знижується до 30% від загальної кількості мікроорганізмів. Одночасно збільшується також і кількість мікроаерофілів (Gardnerella vaginalis, Mycoplasma hominis, Ureaplasma urealiticum) та факультативно-анаеробних мікроорганізмів (Staphilococcus agalactiae, Staphilococcus epidermidis, Enterococcus faecalis) [16].
Поширеність БВ безпосередньо пов’язана з контингентом обстежених жінок. Так, серед представниць негроїдної раси та малозабезпечених верств населення, які звертаються за відповідною спеціалізованою медичною допомогою, частота цього захворювання сягає майже 48%. При цьому за результатами профілактичних обстежень студентського контингенту поширеність БВ становить 11–18% [37].
Викликають інтерес дані, наведені професором В.В. Камінським щодо поширеності БВ в Україні. Зокрема, він підтвердив залежність частоти даної патології від контингенту обстежених жінок репродуктивного віку. Так, згідно з даними цього дослідника, частота виявлення БВ у групах планування сім’ї та серед студенток, які перебувають на обліку в студентських поліклініках, складає 17–19%, серед пацієнток клінік з лікування венеричних хвороб — 24–37%, серед вагітних — 15–37% та серед пацієнток з патологічними піхвовими виділеннями — 61–87%. У жінок зі скаргами на тривалі, резистентні до лікування патологічні виділення БВ діагностують приблизно в 95% випадків. У пацієнток усіх груп, які проживають на території з підвищеним радіаційним фоном, БВ виявляють в 60–65% випадків [6].
За визначенням, БВ є дисбіозом вагіни, тому чоловікам цей діагноз не встановлюють. У чоловіків захворювання, спричинене асоціацією факультативно-анаеробних, мікроаерофільних та аеробних мікроорганізмів, зустрічається дещо рідше, ніж у жінок. Але за даними обстеження статевих партнерів жінок, які страждають на БВ, запальні процеси із залученням переднього відділу уретри виявляють майже в 90% випадків. Перебіг такого уретриту в’ялий, без вираженої клінічної симптоматики. Інколи чоловіки зазначають наявність мізерних слизових виділень. Ускладнення за таких патологічних станів у чоловіків виникають значно рідше, ніж у жінок [7].
У 1983 р. запропоновано комплекс діагностичних критеріїв БВ, який отримав міжнародне визнання і був названий «діагностичний стандарт». Цей клініко-лабораторний підхід також має назву «тріада» або, точніше, «тетрада», оскільки діагностично значущим є наявність трьох із чотирьох ознак: характер вагінальних виділень, pH виділень з вагіни, позитивний амінний тест (рибний запах), наявність «ключових» клітин під час мікроскопічного дослідження вагінальних мазків [8].
Складність встановлення діагнозу БВ полягає в тому, що виявлення гарднерел у виділеннях пацієнток з підозрою на це захворювання не завжди корелює з клінічною картиною інфекційного процесу, тому потрібно враховувати всю сукупність чинників, що супроводжують патологічний стан із залученням до нього значної кількості різноманітних мікроорганізмів, та їхню взаємодію [22].
Лабораторна діагностика БВ ґрунтується на результатах оптичної мікроскопії, бактеріологічних (засіви на аеробні та анаеробні поживні середовища), імуноморфологічних досліджень, ДНК-діагностики, а також хроматомасспектрометрії і газорідинної хроматографії. Останні два методи використовують переважно з науковою метою, і вони не мають широкого вжитку.
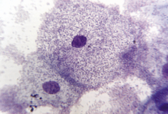
Мікроскопічний метод є одним із основних у діагностиці БВ. Зокрема, він дозволяє провести індикацію у мазках так званих ключових клітин (рисунок), які являють собою епітеліоцити з адгезованими на них дрібними грамваріабельними паличками і/або кокобацилами, що вкривають всю клітину. Вважається, що виявлення «ключових» клітин не менш як у 2 із 20 полів зору під час мікроскопії мазків є підставою для встановлення діагнозу БВ. Визначення «ключових» клітин у мазках теоретично не викликає особливих проблем: їх можна виявити у нативних, незабарвлених препаратах або у разі забарвлення мазків практично за будь-яким методом. Проте враховуючи необхідність одночасного дослідження інших, у тому числі патогенних, збудників (гонококи, трихомонади, гриби роду Candida), а також потребу в тривалому зберіганні (для повторного вивчення) мазків, у разі підозри на БВ рекомендовано проводити забарвлення розчином метиленового синього за Грамом або за Романовським.

Рисунок. Мікрофотографія «ключової» клітини (забарвлення за методом Романовського)
При вивченні забарвлених мазків у світлооптичному мікроскопі разом з Gardnerella vaginalis можна виявити іншу грамнегативну мікрофлору та відсутність лактобактерій. Цей метод також дає змогу оцінити стан мікробіоценозу вагіни: кількісну загальну мікробну заселеність вагіни, визначити наявність чи відсутність тих чи інших бактеріальних морфотипів, а також запальної реакції та стан епітеліальних клітин [5, 10].
Якщо БВ розглядати як дисбактеріоз, то для остаточного вирішення питання щодо характеристики дисбіотичних порушень потрібно використовувати культуральний метод [19].
Серологічну діагностику при БВ проводять для визначення Gardnerella vaginalis. З цією метою використовують метод імунофлюоресценції із застосуванням діагностикумів, до складу яких входить імунна сироватка, що містить антитіла проти гарднерел, мічених флюорохромом [5].
Метод генодіагностики, а саме полімеразну ланцюгову реакцію (ПЛР), широко використовують для ідентифікації збудників, які відіграють роль у розвитку БВ. Чутливість та специфічність цього методу дослідження становить понад 90%. За допомогою методу ПЛР можливо також проводити ідентифікацію мікроорганізмів, асоційованих із БВ, незалежно від бактеріологічного навантаження [10]. Однією з таких перспективних методик для діагностики БВ є модифікація ПЛР у реальному часі (Quantitative real-time PCR), яка дозволяє виявити та кількісно оцінити продукти реакції у міру їхнього накопичення.
Лікування хворих із БВ й досі залишається складним питанням через розмаїтість його чинників та схильність до частих рецидивів. Успіх лікування пацієнток із БВ безпосередньо залежить від своєчасно та правильно встановленого діагнозу на підставі анамнезу, клінічних даних та результатів лабораторного дослідження.
Метою лікування є елімінація умовно-патогенних мікроорганізмів, які не властиві даному екотипу, та відновлення нормальної мікрофлори вагіни.
Терапія БВ заснована на засадах раціональної антибактеріальної терапії, створення оптимального фізіологічного середовища піхви, відновлення нормального або максимально наближеного до норми мікробіоценозу піхви та кишечника, десенсибілізувальної та імунокоригувальної терапії [20]. Важливим аспектом лікування є також санація статевих партнерів хворих на БВ жінок.
Лікування БВ потрібно проводити комплексно та поетапно.
На першому етапі лікування, на тлі зниження рН піхви, корекції місцевого та загального імунітету, а також нормалізації ендокринного статусу пацієнток, потрібно проводити загальну етіотропну терапію антибактеріальними засобами, що діють на анаеробну мікрофлору [7].
Препаратами вибору є похідні нітроімідазолу (метронідазол, орнідазол, тинідазол, секнідазол), ніфурател та кліндаміцин [2, 29], які широко застосовують у різних схемах терапії БВ. Описано їхню активність у разі разового прийому в дозі 2 г та при 7–10-денних курсах лікування у дозі 0,5 г внутрішньо двічі на добу. Проте використання препаратів даної групи нерідко зумовлює розвиток таких побічних ефектів, як металевий присмак у роті, запаморочення, нудота, головний біль (у 32% хворих), диспепсичні розлади (у 25%), алергічні реакції, що іноді обмежує їхнє застосування [21, 33, 35, 36].
Недоліками системної терапії БВ є поява антибіотикостійких форм мікроорганізмів (неефективне лікування, рецидиви), пригнічення лактофлори, розвиток дисбіозу піхви та кишечника, кандидозна суперінфекція, мутагенна дія імідазолів, небажаність використання в період вагітності та годування груддю.
Саме тому, беручи до уваги велику кількість побічних ефектів, які виникають під час перорального прийому вищеперерахованих засобів, більш прийнятним є інтравагінальний шлях уведення відповідних антибактеріальних препаратів. Такий шлях уведення є більш доцільним, адже у разі місцевого використання препарат потрапляє безпосередньо у вогнище інфекції — місце концентрації збудника. Це дозволяє за рахунок застосування препарату у відносно низьких дозах уникнути системної дії на макроорганізм, унеможливлюючи розвиток системних побічних ефектів. Інтравагінальний шлях уведення препарату є оптимальним у період вагітності та годування груддю [6].
Місцеву терапію на першому етапі лікування проводять шляхом використання кліндаміцину та ніфурателу у формі вагінальних супозиторіїв та крему. Ці препарати мають виражену антибактеріальну активність, пригнічують синтез білка в мікробній клітині. Препарат вводять у вагіну один раз на добу (на ніч) упродовж 7–10 діб. Серед побічних ефектів описано місцеві алергічні реакції, ріст дріжджоподібних грибів. З цією ж метою можна використовувати вагінальні таблетки, які містять комбінації протимікробних засобів (метронідазолу та міконазолу або тернідазолу з преднізолоном, неоміцином та ністатином) [3]. На першому етапі лікування БВ використовують також йодовмісні антисептики, а саме вагінальні супозиторії повідон-йоду. Перевагою йодовмісних антисептиків є їхня здатність пригнічувати розмноження мікроорганізмів, широкий спектр дії, який включає вплив на ентеро- та аденовіруси, вірус герпесу, гриби роду Candida, трихомонади, а також антибіотикостійкі штами бактерій. Ці препарати рекомендовано застосовувати 1–2 рази на добу протягом 7–10 днів. Можна використовувати в період вагітності [8].
Місцевий антисептичний препарат хлоргексидин виявляє високу клінічну ефективність під час лікування БВ. Препарат містить 0,016 г хлоргексидину біглюконату та водорозчинну основу, має антимікробну активність щодо анаеробної, факультативно-анаеробної та аеробної мікрофлори вагіни, а також проти збудників деяких венеричних хвороб [6].
На другому етапі лікування БВ необхідно відновити нормальний мікробіоценоз піхви. Для цього використовують препарати, що містять молочнокислу мікрофлору [8, 13].
Терапевтичний ефект препаратів, які містять ліофілізовані штами лактобактерій, заснований на їхній імуномодулювальній активності. Стимуляція імуноглобулінпродукуючих лімфоцитів, які перебувають у стінці вагіни, під дією лактобактерій призводить до посилення продукції секреторних IgA, захисна дія яких полягає в інгібіції адгезії патогенних мікроорганізмів та нейтралізації вірусів.
Недоліком біотерапевтичних препаратів, які використовують на сьогодні для корекції мікрофлори вагіни, є те, що вони містять штами біфідо- або лактобактерій, отриманих з кишечника людини. Тому в разі потрапляння в нехарактерний для їхнього існування біотоп (вагіну) ці мікроорганізми із властивою їм слабкою адгезивною активністю по відношенню до вагінальних епітеліоцитів не в змозі прижитися там на достатньо тривалий термін. Використання еубіотиків для лікування БВ дає обнадійливі результати, хоча механізм їхньої дії остаточно не з’ясовано [14].
З метою закріплення досягнутих результатів лікування та попередження рецидивів запропоновано використовувати комбіновану вакцину проти дифтерії, Hаemophilus influenzae В, коклюшу, поліомієліту та правця (Солкотриховак ліофілізат). Антитіла, які утворюються після введення цієї вакцини, діють проти низки збудників БВ, сприяючи нормалізації мікрофлори піхви та зниженню її рН до фізіологічних величин. Вакцинацію проводять за схемою: 3–5 ін’єкцій по 0,5 мл з інтервалом 2 тижні поза загостреннями та менструаціями. Після такого лікування доцільно протягом тривалого часу щорічно робити одноразові профілактичні ревакцинації [1].
Перепони у наданні якісної медичної допомоги пацієнткам з БВ [7, 9]:
Література